我们用心专注中医行业
百年老字号
24H热线电话
0833-4221295

一镜到底看全身,全脊柱与双下肢DR拼接成像技术

2
发表时间:2026-02-03 08:24

试想,脊柱侧弯患者需要精准评估弯曲程度,膝关节疼痛的老人想要排查下肢整体力线,传统X光片需分段拍摄,受限于视野范围,可能需要多次调整体位;而现代DR拼接成像技术可实现连续拍摄,可有效解决这些难题,能为医生清晰呈现一幅完整的“全身骨骼地图”,为诊断提供更全面的影像支持,为骨骼系统整体评估提供了新的技术选择。

01技术核心:化零为整的影像拼接分段扫描:

患者站立在DR检查台上,设备就像一台智能扫描仪,沿着身体的长轴方向(从上到下或从下到上)移动探测器或球管,对需要检查的部位,比如整个脊柱或双下肢,进行连续且略带重叠的分段曝光拍摄。

无缝拼接:

强大的计算机软件自动识别相邻图像中的重叠区域,精准匹配解剖结构特征点,将这些分段图像无缝拼接成一幅完整、连续、高分辨率的全景图像。

精准校准:

设备内置精密运动控制系统和几何校准算法,确保每幅分段图像的几何参数一致,避免拼接后图像扭曲变形。

02

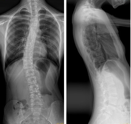
全脊柱拼接成像:挺直脊梁的全面评估

 应用场景:

脊柱侧弯(评估Cobb角、旋转度)、脊柱后凸/前凸畸形、脊柱骨折脱位、脊柱术后力线评估、脊柱退行性疾病累及范围观察、生长发育评估。

独特价值:

一次成像即可清晰展现从颈椎到骶尾椎的整体生理曲度、力线排列和平衡状态,是有明确临床指征时,评估脊柱整体形态和制定矫形方案的重要参考依据。尤其对于脊柱侧弯患者,可精确测量角度,减少多次拍摄的辐射累积。

03

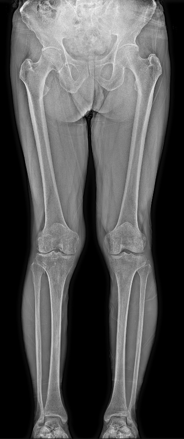
双下肢全长拼接成像:力线平衡的关键判官

 应用场景:

膝关节骨关节炎(评估下肢力线、内外翻畸形)、髋膝关节置换术前计划与术后评估、先天性/创伤性下肢畸形(如O型腿、X型腿)、肢体不等长、运动损伤后下肢生物力学评估。

独特价值:

要求患者在自然负重站立位下拍摄,真实反映骨骼在承重状态下的整体力线。精准测量髋-膝-踝角(HKA角)、股骨远端角、胫骨近端角等关键参数,是符合手术指征的病例中,关节外科手术(尤其截骨矫形和关节置换)的重要技术支撑。

04

技术优势:精准、高效、低辐射

全景视野,全局掌控:

突破传统X光视野限制,提供宏观整体观,直观显示解剖结构间的相互关系。

高分辨率与精准测量:

拼接后图像保持高分辨率,结合工作站测量工具,可实现角度、长度等参数的精确量化分析,为临床诊断和治疗提供客观依据。

负重位成像,反映真实状态:

尤其对于下肢,站立位拍摄能真实反映骨骼、关节在生理承重下的对位对线关系,评估更符合实际功能状态。

减少辐射剂量:

相较于分段多次拍摄再手动拼接,现代自动拼接技术通过优化扫描方式和算法,在合理应用的前提下,能显著降低患者接受的总体辐射剂量。

操作流程优化:

自动化程度高,检查流程相对标准化、快速,减轻技师负担,提高检查效率。

数字图像管理:

生成单一数字化图像,便于存储、传输、调阅以及在PACS系统中进行多平面重建(如有需要)和对比随访。

05

提示与局限性

患者配合是关键:

检查过程中患者必须保持静止,任何移动都可能导致拼接错位或伪影。技师需给予清晰指令。

辐射防护原则不变:

虽总剂量低于分段拍摄,但仍需严格遵循辐射防护最优化原则,仅在有明确临床指征时应用。

精细结构显影限制:

全景图像主要用于观察整体结构和力线,对于椎体内部细微骨折或关节软骨等极其细微结构的显示,可能不如局部小视野高分辨率摄片或CT/MR。软组织对比度也低于CT/MRI。

全脊柱与双下肢DR拼接成像技术,以其独特的“一镜到底能力,为骨骼系统整体评估提供了更高效、精准的技术路径,它不仅让医生拥有了更广阔的诊断视野,也为脊柱侧弯、关节畸形等患者提供了更精准、更安全的影像检查选择。




分享到: